У відділенні ендопротезування впроваджують сучасний підхід до заміни колінного суглоба – кінематичне вирівнювання.
Кінематичне вирівнювання — це новітній підхід, який не так давно почали застосовувати у світовій ортопедичній практиці.
«Метою тотального ендопротезування колінного суглоба є відновлення його функції, зменшення больового синдрому, відновлення нормальної осі нижньої кінцівки», – каже ортопед-травматолог Андрій Шийка, який запровадив цей метод в обласній лікарні.
Щоб досягнути добрих результатів, лікарі враховують анатомічні особливості кожного пацієнта та спираються на сучасні наукові дослідження. «На сьогодні відомо дев’ять фенотипів викривлення осі нижніх кінцівок: вальгусне або варусне положення, а також різні варіанти кута нахилу суглобової поверхні відносно механічної осі кінцівки», — пояснює хірург. Саме ці індивідуальні параметри використовують для планування оперативного втручання.
В ОКЛ застосовують два методи заміни колінного суглоба із відновленням осі нижньої кінцівки та обсягу рухів: механічний та персоналізований кінематичний. Класичним механічним методом протез встановлюють так, щоб суглобові поверхні були перпендикулярні до механічної осі нижньої кінцівки. Ця вісь «з'єднує центр кульшового і таранного суглобу та проходить через колінний суглоб». Проблема в тому, пояснює хірург, що природний кут нахилу суглобової поверхні у більшості людей – до 85% – відрізняється від 90 градусів, тому механічне «вирівнювання» може змінювати природну біомеханіку коліна та ускладнювати відновлення після операції. Тож цей метод підходить орієнтовно для 15 % людей. А всім іншим доцільніше застосовувати кінематичний метод заміни колінного суглоба.
«Кінематичний метод, який ми впровадили у нас, враховує індивідуальні особливості пацієнта. Він дозволяє відновити природний преартрозний кут нахилу суглобової поверхні та нормальну вісь нижньої кінцівки», – каже Андрій Шийка. При механічному вирівнюванні суглобова поверхня фактично «зрізається» перпендикулярно до осі, й тоді може виникати ситуація, коли один колінний суглоб має один кут нахилу, а прооперований – інший.
Натомість, кінематичний метод дає можливість максимально відтворити природні рухи колінного суглоба та швидко відновити звичну манеру ходи, залучаючи кінематичну, тобто рухову памʼять пацієнта.
"Реабілітація починається вже через кілька годин після операції. Пацієнти поступово збільшують рухову активність під контролем наших фахівців, що сприяє швидшому відновленню та кращому функціональному результату», – зазначає лікар. Особливо це суттєво для тих, кому потрібна заміна тільки одного колінного суглоба.
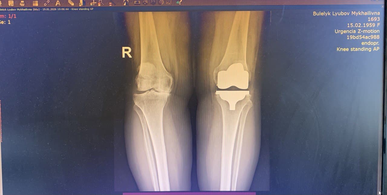
Однією з пацієнток, якій виконали операцію з використанням кінематичного методу, стала Любов Булелик із села Заріччя Делятинської громади. Жінка розповідає, що проблеми з колінами тривали не один рік, однак значно посилилися після перенесеного коронавірусу. У 2023 році після обстежень їй підтвердили виражений артроз і рекомендували операцію. Спершу вона намагалася лікуватися консервативно.
Згодом ситуація ускладнилася: у 2025 році пацієнтці діагностували онкологічне захворювання грудей, провели операцію, курс хіміотерапії, променеву та гормонотерапію. Після початку гормонотерапії стан колін різко погіршився.
«Це мене так зловило, що я просто не могла вже ні ходити, ні згинати, на милицях сюди прийшла. І Андрій Іванович каже мені: треба оперувати. Я кажу, як треба, то я готова, бо дальше вже не можу, це вже все, фініш. Та й прооперували, я дуже задоволена».
За словами Андрія Шийки, пацієнтка мала виражений артроз із контрактурою колінного суглоба та суттєвим обмеженням рухів. Без оперативного втручання це означало би «біль, обмеження рухів: не могла б ходити, працювати». Зараз пацієнтка успішно проходить реабілітацію.
«Ми працюємо над відновленням рухів у колінному суглобі», – пояснює лікар. Пацієнтка займається на доріжці, велотренажері, проходить процедури пасивного згинання й розгинання: «Він мені розгинає так, знаєте, тягне, тягне… Я терплю, сльози на очі…але я терплю», – каже жінка. І додає: «Я бачу, що є результат, я пішла».
За словами Андрія Шийки, метод заміни колінного суглоба підбирають індивідуально – після консультації та детального обстеження.
Врахування фенотипу кінцівки та кута нахилу суглобових поверхонь дозволяє відновити природну біомеханіку ходи та зменшити дискомфорт після операції.
У відділенні ендопротезування протезують верхні суглоби понад 20 років. Як зазначає медичний директор лікарні Андрій Яворський, фахівці закладу беруть участь у міжнародних навчальних проєктах, вивчають та привозять нові методики, щоби українці мали доступ до якісної медицини....
У відділенні ендопротезування впроваджують сучасний підхід до заміни колінного суглоба – кінематичне вирівнювання.
Кінематичне вирівнювання — це новітній підхід, який не так давно почали застосовувати у світовій ортопедичній практиці.
«Метою тотального ендопротезування колінного суглоба є відновлення його функції, зменшення больового синдрому, відновлення нормальної осі нижньої кінцівки», – каже ортопед-травматолог Андрій Шийка, який запровадив цей метод в обласній лікарні.
Щоб досягнути добрих результатів, лікарі враховують анатомічні особливості кожного пацієнта та спираються на сучасні наукові дослідження. «На сьогодні відомо дев’ять фенотипів викривлення осі нижніх кінцівок: вальгусне або варусне положення, а також різні варіанти кута нахилу суглобової поверхні відносно механічної осі кінцівки», — пояснює хірург. Саме ці індивідуальні параметри використовують для планування оперативного втручання.

В ОКЛ застосовують два методи заміни колінного суглоба із відновленням осі нижньої кінцівки та обсягу рухів: механічний та персоналізований кінематичний. Класичним механічним методом протез встановлюють так, щоб суглобові поверхні були перпендикулярні до механічної осі нижньої кінцівки. Ця вісь «з'єднує центр кульшового і таранного суглобу та проходить через колінний суглоб». Проблема в тому, пояснює хірург, що природний кут нахилу суглобової поверхні у більшості людей – до 85% – відрізняється від 90 градусів, тому механічне «вирівнювання» може змінювати природну біомеханіку коліна та ускладнювати відновлення після операції. Тож цей метод підходить орієнтовно для 15 % людей. А всім іншим доцільніше застосовувати кінематичний метод заміни колінного суглоба.
«Кінематичний метод, який ми впровадили у нас, враховує індивідуальні особливості пацієнта. Він дозволяє відновити природний преартрозний кут нахилу суглобової поверхні та нормальну вісь нижньої кінцівки», – каже Андрій Шийка. При механічному вирівнюванні суглобова поверхня фактично «зрізається» перпендикулярно до осі, й тоді може виникати ситуація, коли один колінний суглоб має один кут нахилу, а прооперований – інший.
Натомість, кінематичний метод дає можливість максимально відтворити природні рухи колінного суглоба та швидко відновити звичну манеру ходи, залучаючи кінематичну, тобто рухову памʼять пацієнта.

"Реабілітація починається вже через кілька годин після операції. Пацієнти поступово збільшують рухову активність під контролем наших фахівців, що сприяє швидшому відновленню та кращому функціональному результату», – зазначає лікар. Особливо це суттєво для тих, кому потрібна заміна тільки одного колінного суглоба.
Однією з пацієнток, якій виконали операцію з використанням кінематичного методу, стала Любов Булелик із села Заріччя Делятинської громади. Жінка розповідає, що проблеми з колінами тривали не один рік, однак значно посилилися після перенесеного коронавірусу. У 2023 році після обстежень їй підтвердили виражений артроз і рекомендували операцію. Спершу вона намагалася лікуватися консервативно.
Згодом ситуація ускладнилася: у 2025 році пацієнтці діагностували онкологічне захворювання грудей, провели операцію, курс хіміотерапії, променеву та гормонотерапію. Після початку гормонотерапії стан колін різко погіршився.
«Це мене так зловило, що я просто не могла вже ні ходити, ні згинати, на милицях сюди прийшла. І Андрій Іванович каже мені: треба оперувати. Я кажу, як треба, то я готова, бо дальше вже не можу, це вже все, фініш. Та й прооперували, я дуже задоволена».

За словами Андрія Шийки, пацієнтка мала виражений артроз із контрактурою колінного суглоба та суттєвим обмеженням рухів. Без оперативного втручання це означало би «біль, обмеження рухів: не могла б ходити, працювати». Зараз пацієнтка успішно проходить реабілітацію.
«Ми працюємо над відновленням рухів у колінному суглобі», – пояснює лікар. Пацієнтка займається на доріжці, велотренажері, проходить процедури пасивного згинання й розгинання: «Він мені розгинає так, знаєте, тягне, тягне… Я терплю, сльози на очі…але я терплю», – каже жінка. І додає: «Я бачу, що є результат, я пішла».
За словами Андрія Шийки, метод заміни колінного суглоба підбирають індивідуально – після консультації та детального обстеження.
Врахування фенотипу кінцівки та кута нахилу суглобових поверхонь дозволяє відновити природну біомеханіку ходи та зменшити дискомфорт після операції.
У відділенні ендопротезування протезують верхні суглоби понад 20 років. Як зазначає медичний директор лікарні Андрій Яворський, фахівці закладу беруть участь у міжнародних навчальних проєктах, вивчають та привозять нові методики, щоби українці мали доступ до якісної медицини....




